

در این نوشته می خوانید:
از آنجا که درمان با بریس ها زمان و کار زیادی می برد، ممکن است برای بستن فاصله بین دندان هایتان به جایگزین برای بریس ها نیاز داشته باشید. بنابراین، آیا می توان فاصله بین دندان ها را بدون بریس ها بست؟
به جای استفاده از بریس ها، می توانید دیاستم خط وسط یا فاصله بین دندان هایتان را با الاینرهای شفاف مانند اینویزیلاین یا صاف کننده های خانگی دندان ها مانند بایت الاینرها ببندید. علاوه بر این، یک فاصله جزئی بین دندان های جلو را می توان با باندینگ دندان، لیمینت دندان یا پرسلن بست.
حال، ممکن است از خود بپرسید که آیا می توانید فاصله بین دندان هایتان را بدون بریس ها ببندید. برای دانستن این موضوع، باید بدانید چه زمانی می توانید فاصله بین دندان هایتان را بدون بریس ها و چه زمانی نمی توانید آن را بدون بریس ها برطرف کنید.
در این مقاله، در مورد آن بحث خواهیم کرد و همچنین در مورد بهترین جایگزین های بریس ها برای رفع فاصله بین دندان ها به شما خواهیم گفت.

به جای بریس ها برای بستن فاصله بین دندان ها از چه چیزی می توانید استفاده کنید؟
اگر فاصله بین تمام دندان ها و قوس دندانی یا فک شما، بیشتر از فضای مورد نیاز برای دندان هایتان فضا داشته باشد، می توانید از الاینرهای شفاف مانند اینویزیلاین یا صاف کننده های خانگی دندان برای رفع این فاصله ها استفاده کنید. با این حال، وقتی کسی به دلیل مشکلات اسکلتی بین دندان های زیادی فاصله دارد، ممکن است به جراحی نیاز داشته باشد. اما اگر فاصله بین دندان ها کم باشد، باید آن را با ایمپلنت، بریج یا پروتز دندانی اصلاح کرد.

فاصله بین دندان ها پس از کشیدن دندان
در ادامه انواع فاصله هایی که می توانید بدون بریس ها اصلاح کنید، آمده اند.
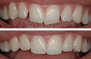
دیاستم خط وسط وضعیتی است که در آن بین دندان های پیشین مرکزی فک بالای شما فاصله وجود دارد. این فاصله بسته به شرایط می تواند با یا بدون بریس ها بسته شود. برای رفع این مشکل، می توانید از لمینیت دندان، روکش دندان، پرسلن یا یک الاینر شفاف مانند اینویزیلاین استفاده کنید.
بسیاری از افراد بین دندان های جلوی خود فاصله دارند. این فاصله می تواند از کودکی وجود داشته باشد یا برخی ممکن است پس از بالا رفتن سن آن را داشته باشند. اگر شما هم یکی از آنها هستید، می توانید بدون استفاده از بریس ها، آن را با خیال راحت برطرف کنید.
فاصله بین دندان های عقب می تواند از کودکی به دلیل مشکلات رشد ایجاد شود. اما در بیشتر موارد، فاصله در ناحیه دندان های مولر بزرگ به دلیل از دست دادن دندان مولر بزرگ ایجاد می شود. این اتفاق زمانی رخ می دهد که کسی به دلیل پوسیدگی شدید یا دلیل دیگری مجبور به کشیدن دندان مولر بزرگ شود. شما می توانید فاصله بین دندان های مولر بزرگ را بدون بریس ها ببندید. در واقع، ایده آل این است که از انواع دیگر پروتزهای دندانی مانند بریج یا ایمپلنت دندان برای بستن فاصله استفاده کنید.
گاهی اوقات تصادفات، آسیب ها و برخی بیماری های دندانی از جمله پوسیدگی های شدید، کیست ها، تومورها یا بیماری پریودنتال افراد را مجبور به کشیدن دندان هایشان می کنند. اگر یک یا چند دندان خود را کشیده اید، احتمالاً دچار فاصله بین دندان هایتان خواهید شد. خبر خوب این است که این نوع فاصله را می توان بدون نیاز به استفاده از بریس ها بست. شما می توانید فاصله بین دندان های از دست رفته را با پروتزهای دندانی، ایمپلنت های دندانی یا بریج های دندانی ببندید.
در برخی موارد، افراد فاصله عمومی بین دندان های خود دارند. این بدان معناست که بین تمام دندان های آنها فاصله وجود دارد. اگر فاصله عمومی دارید، می توانید فاصله ها را با الاینرهای شفاف مانند اینویزیلاین یا صاف کننده های دندان خانگی ببندید. اگرچه بریس ها یکی از بهترین گزینه ها برای رفع این فاصله ها هستند، اما می توانید گزینه های دیگری را نیز برای خلاص شدن از شر آنها انتخاب کنید.
گاهی اوقات، افراد دندان هایی با شکل غیر طبیعی یا دندان هایی نازک و کوچک دارند. همچنین ممکن است در نزدیکی آن دندان غیر طبیعی، فاصله ای بین دندان ها وجود داشته باشد. در این نوع موارد به بریس ها نیاز ندارید. در عوض، به لمینیت دندان یا پرسلن یا سایر پروتزهای دندانی نیاز خواهید داشت.
به طور طبیعی، کودکان قبل از ۶ سالگی، زمانی که دندان های شیری دارند، بین دندان های خود فاصله دارند. حتی پس از رویش دندان های دائمی، در حدود ۹ تا ۱۰ سالگی بین دندان های جلو فاصله وجود دارد. به این مرحله، مرحله جوجه اردک زشت می گویند. در این مدت، فاصله طبیعی است زیرا دندان ها برای فراهم کردن فضا برای تمام دندان های دائمی آینده وجود دارند. وقتی همه دندان های دائمی در فک آنها ظاهر می شوند، همه فاصله ها به طور طبیعی بسته می شوند و آنها لبخند زیبایی دارند. بنابراین، برای این فاصله ها، کودکان به بریس یا هیچ تراز کننده دیگری نیاز ندارند. در واقع، نداشتن این نوع فاصله ها برای تراز دندان های آینده مضر است.
دندان های عقل آخرین دندان هایی هستند که در دهان شما می رویند. آنها معمولاً حدود ۱۸ سالگی ظاهر می شوند. اگرچه همیشه مشکلی ایجاد نمی کنند، اما در برخی موارد، باید کشیده شوند. زیرا می توانند با زاویه ای غیرطبیعی رشد کنند و باعث شوند دندان های دیگر شما را تحت فشار قرار دهند و آنها را از حالت تراز خارج کنند. همچنین ممکن است دندان های عقل فقط تا حدی بیرون بیایند که می تواند منجر به عفونت، درد و التهاب شود. اگر دندان های عقل شما کشیده شده باشند، احتمالاً بین دندان های شما فاصله ایجاد می شود. علاوه بر این، اگر پشت تمام دندان هایتان فاصله های جزئی دارید، نیازی به بسته شدن آنها نیست. علت این است که هیچ مشکلی ایجاد نمی کنند.
در برخی موارد، بین دندان های افراد به دلیل آسیب دیدگی فاصله ایجاد می شود. این اتفاق می تواند در صورت زمین خوردن و برخورد دهان به سطح سخت رخ دهد. همچنین در صورت برخورد جسم سختی مانند توپ یا مشت به صورت می تواند رخ دهد. اگر در اثر آسیب دیدگی بین دندان های خود فاصله ای دارید، ممکن است برای بستن آن به بریس ها یا سایر پروتزهای دندانی نیاز داشته باشید.
مکیدن انگشت شست یک عادت شایع در کودکان است. این عادت معمولاً از حدود ۲ سالگی شروع می شود و تا ۴ یا ۵ سالگی ادامه می یابد.
اگرچه این عادت بی ضرری است، اما می تواند مشکلاتی در تراز دندان های کودک شما ایجاد کند. علت این است که به دندان ها و فک فشار وارد می کند و می تواند باعث جابجایی آنها از جای خود شود. اگر کودک شما انگشت شست خود را می مکد، نظارت بر این عادت مهم است. اگر این عادت پس از درآمدن دندان های دائمی ادامه یابد، ممکن است لازم باشد اقداماتی برای متوقف کردن آن انجام دهید. علت این است که می تواند باعث ایجاد فاصله بین دندان های او شود. با این حال، اگر کسی به دلیل مکیدن انگشت شست، فاصله بین دندان هایش زیاد باشد، می توان آن را با جایگزینی برای بریس ها مانند اینویزیلاین نیز برطرف کرد.
تانگ تراست یا فشار زبان وضعیتی است که در آن هنگام بلع، زبان خود را به جلو می رانید. این می تواند باعث جابجایی دندان های شما از تراز خود شود که می تواند منجر به ایجاد فاصله بین دندان ها شود. این فاصله ها را می توان بدون بریس ها و با استفاده از جایگزینی مانند اینویزیلاین بست. اگر این وضعیت را دارید، ممکن است نیاز به مراجعه به یک گفتاردرمانگر نیز داشته باشید. آنها می توانند در یادگیری نحوه صحیح بلعیدن به شما کمک کنند. در برخی موارد، ممکن است نیاز به استفاده از دستگاه تانگ تراست نیز داشته باشید. این ابزاری است که داخل دهان خود قرار می دهید تا از جلو آمدن زبانتان جلوگیری شود.
به ندرت، ممکن است پس از درمان ارتودنسی، فاصله های جزئی بین دندان ها ایجاد شود. این ممکن است به دلایلی، پس از یک یا دو سال اتفاق بیفتد. می توانید این فاصله ها را بدون استفاده مجدد از ارتودنسی ببندید.

چگونه فاصله بین دندان ها را بدون ارتودنسی برطرف کنیم؟
بیایید به روش های بستن فاصله بین دندان ها بدون ارتودنسی و جایگزین های ارتودنسی نگاهی بیندازیم.
یکی از محبوب ترین جایگزین های ارتودنسی که به طور مؤثر فاصله بین دندان ها را می بندد، الاینر شفاف است. در بیشتر موارد، نتیجه نیز مشابه ارتودنسی است. الاینرهای شفاف می توانند تقریباً هر نوع فاصله ای بین دندان ها را که ارتودنسی می تواند، ببندند. یعنی نه تنها می تواند شکاف های کوچک را ببندد، بلکه می تواند شکاف های بزرگ را هم ببندد. علاوه بر این، این الاینرها می توانند در صاف کردن دندان های کج به شما کمک کنند. علاوه بر این، هزینه استفاده از الاینرهای شفاف مشابه یا گاهی کمتر از بریس ها برای رفع فاصله بین دندان ها است. علاوه بر این، الاینرهای شفاف به دلیل قابل جابجایی بودن، راحت تر از بریس ها هستند. برای این روش باید از الاینرهای شفاف استفاده کنید. این بدان معناست که هیچ کس متوجه نخواهد شد که شما چیزی در دهان خود دارید. الاینر شفاف تقریباً مشابه بریس ها عمل می کند. این روش با اعمال فشار بر دندان ها و حرکت دادن آنها برای بستن فاصله بین دندان ها عمل می کند. بنابراین، اگر می خواهید احساس راحتی کنید و نگران ظاهر خود هستید، الاینر شفاف گزینه بسیار خوبی برای بستن فاصله بین دندان ها است.
باندینگ دندان یک روش دندانپزشکی زیبایی متداول و محبوب برای رفع فاصله های جزئی، فاصله های دندان های جلو، لب پر شدگی های خط وسط دندان و ترک های دندان ها است. برخی از فاصله های بزرگ نیز می توانند با این روش اصلاح شوند.
این یک روش سریع و آسان است که می تواند در یک جلسه دندانپزشکی انجام شود. در این روش، دندانپزشک از یک ماده رزینی همرنگ دندان (رزین کامپوزیت) برای چسباندن فاصله های دندان های شما استفاده می کند. برای این کار، باید به دندانپزشک مراجعه کنید و تاج دندان های پیشین فک بالا یا دندان هایی که بین آنها فاصله وجود دارد را بازسازی کنید.
در این روش، دندانپزشک رزین کامپوزیت را روی دندان های شما اعمال می کند و شکل مناسبی به دندان ها می دهد. سپس، از یک نور آبی مخصوص برای تنظیم رزین روی دندان های شما استفاده می کند. پس از آن، دندان های شما دقیقاً مانند دندان های طبیعی به نظر می رسند و فاصله ها نیز بسته می شوند. اگر دندان های شما شکسته یا لب پر شوند، می تواند آن را نیز برطرف کند. با مراقبت مناسب، باندینگ دندان می تواند چندین سال دوام بیاورد. ماده رزینی مورد استفاده، اگرچه تا حدودی در برابر لکه مقاوم است، اما به اندازه مینای دندان طبیعی یا روکش دندان شما قوی نیست. بنابراین، باید مراقب آنچه می خورید و می نوشید باشید. با این حال، این فرآیند شکل دندان های سالم شما را تغییر می دهد، بنابراین بسیاری از افراد آن را دوست ندارند. اما اگر توانایی مالی برای ارتودنسی ندارید و فاصله بین دندان ها کم است، می توانید این گزینه را انتخاب کنید.
یکی دیگر از روش های فوق العاده برای بستن فاصله بین دندان ها، لمینیت دندان است. لمینیت های دندانی پوسته های نازک ویفری هستند که سطح جلویی دندان های شما را می پوشانند. لمینیت از مواد مختلفی ساخته شده است، اما رایج ترین نوع آن لمینیت های پرسلن است. لمینیت پرسلن از سرامیک ساخته شده و دقیقاً شبیه دندان های طبیعی است. لمینیت می تواند بسیاری از مشکلات دندانی مانند دندان های فاصله دار، دندان های لب پر شده، دندان های بدشکل، دندان های با شکل غیر طبیعی و دندان های تغییر رنگ داده را برطرف کند. لمینیت با چسب مخصوص به دندان های موجود شما متصل می شود. آنها مانند الاینر شفاف قابل جدا شدن نیستند. لمینیت های دندانی ظاهری طبیعی دارند و لبخندی را که همیشه آرزویش را داشتید، به شما هدیه می دهند. فرایند انجام لمینیت های دندانی دردناک نیست، اما می تواند کمی ناراحت کننده باشد. این فرآیند شامل برداشتن مقدار کمی از مینای دندان از دندان های فعلی شما است. پس از آن، دندانپزشک از دندان های شما قالب گیری کرده و آن را به لابراتوار ارسال می کند. در آنجا، لمینیت ها را مطابق با قالب دندان های شما می سازند. ۱ تا ۲ هفته طول می کشد تا لمینیت ها از لابراتوار برگردانده شوند. در این مدت، باید لمینیت های موقت را استفاده کنید. هنگامی که لمینیت های دائمی را دوباره دریافت کردید، دندانپزشک لمینیت های موقت را برداشته و لمینیت های دائمی را به دندان های شما می چسباند. برای دریافت لمینیت های باید دو بار به دندانپزشک مراجعه کنید. لمینیت دندان می تواند مدت زیادی دوام بیاورد اما نیاز به مراقبت ویژه دارد. با مراقبت مناسب، می تواند ۱۰ تا ۱۵ سال دوام بیاود. اما لمینیت ها برگشت ناپذیر و بسیار گران هستند. بنابراین، قبل از انتخاب این روش باید بسیار مراقب باشید.
اگر به دلیل پوسیدگی دندان، آسیب یا هر دلیل دیگری، فاصله ای بین دندان هایتان وجود دارد، روکش دندان می تواند به بستن این فاصله کمک کند. روکش دندان، کلاهک نیز نامیده می شود و روی دندان های موجود شما قرار می گیرد. روکش ها از مواد مختلفی مانند سرامیک، پرسلن متصل به فلز (PFM)، تمام رزین یا تمام فلز ساخته می شوند. روکش های پرسلن و سرامیک شبیه دندان های طبیعی هستند و محبوب ترین نوع روکش ها محسوب می شوند. اما به اندازه سایر انواع روکش ها محکم نیستند. روکش های تمام رزین و تمام فلز ارزان تر هستند اما می توانند به مرور زمان باعث تغییر رنگ لثه ها شوند. روکش های PFM کمی گران تر از روکش های سرامیکی یا تمام رزین هستند، اما طبیعی به نظر می رسند و دوام بیشتری دارند. بنابراین، بهترین نوع روکش هستند. روش نصب روکش دندان نیاز به دو جلسه مراجعه به دندانپزشک دارد. در اولین مراجعه، دندانپزشک ساختار آسیب دیده دندان را برمی دارد و از دندان های شما قالب می گیرد. سپس، او قالب را به لابراتوار ارسال می کند تا بر اساس آن، روکش را بسازند. دریافت روکش از لابراتوار ۱۲ هفته طول می کشد. در این مدت، باید از یک روکش موقت استفاده کنید. وقتی روکش دائمی را دریافت کردید، دندانپزشک روکش موقت را برداشته و روکش جدید را به دندان های شما می چسباند. روکش های دندان به اندازه لمینیت های دندانی گران نیستند، اما همچنان بسیار پرهزینه هستند. با مراقبت مناسب می توانند ۱۰ تا ۱۵ سال دوام بیاورند. اما مانند لمینیت ها برگشت ناپذیر هستند. بنابراین، قبل از انتخاب این روش باید مراقب باشید.
اگر به دلیل تصادف، آسیب دیدگی یا کشیدن دندان پوسیده، بین دندان های خود جای خالی دارید، ایمپلنت های دندانی بهترین گزینه برای شما هستند. ایمپلنت های دندانی، پایه های تیتانیومی کوچکی هستند که با جراحی درون استخوان فک شما قرار می گیرند. آنها به عنوان ریشه های مصنوعی برای دندان های شما عمل می کنند و پایه محکمی برای روکش های دندانی، بریج ها یا دندان های مصنوعی فراهم می کنند.
فرایند دریافت ایمپلنت های دندانی کمی پیچیده است و به دو جلسه مراجعه به دندانپزشک نیاز دارد. این یک روش محبوب است زیرا شما یک دندان با ظاهر طبیعی و عملکرد مناسب بدون لمس دندان های سالم دیگر بدست می آورید. آنها همچنین محکم و بادوام هستند. تنها نکته منفی ایمپلنت های دندانی این است که بسیار گران هستند. بنابراین، قبل از انتخاب این روش باید مراقب باشید.
اگر به دلیل از دست دادن چندین دندان، فاصله ای بین دندان هایتان دارید، دندان مصنوعی بهترین گزینه برای شماست. دندان مصنوعی، دندان مصنوعی است که از پلاستیک یا فلز ساخته شده است.
هنگامی که پوسیدگی شدید دندان یا بیماری لثه دارید، دندانپزشک شما ممکن است کشیدن برخی از دندان هایتان را توصیه کند. در چنین حالتی، پروتز دندان انتخاب خوبی برای بستن فاصله های ایجاد شده توسط دندان های از دست رفته است. اگر به ارتودنسی فکر می کنید، می خواهم به شما بگویم که در این موارد ارتودنسی حتی یک گزینه هم نیست. این دندان های مصنوعی قابل جابجایی هستند و می توان آنها را شب ها از دهان خارج کرد. دندان مصنوعی باید هر 5 تا 7 سال یکبار تعویض شود. دندان مصنوعی مقرون به صرفه ترین گزینه برای بستن فاصله بین دندان ها است. همچنین نگهداری از آنها آسان ترین است. با این حال، آنها می توانند ناراحت کننده باشند و نیاز به تنظیمات منظم دارند.
وقتی به دلیل آسیب یا کشیدن دندان، دندانی از دست داده اید، می توانید از بریج دندانی برای جایگزینی دندان از دست رفته نیز استفاده کنید. اما تفاوت این است که برای دریافت آن لازم است شکل دندان های سالم نزدیک به فاصله تغییر کند.

کدام نوع فاصله بین دندان ها بدون بریس قابل اصلاح نیست؟
بیایید نگاهی به انواع فاصله هایی بیندازیم که بدون بریس ها قابل اصلاح نیستند.
فاصله عمومی گاهی اوقات می تواند بسیار شدید باشد و به سایر مشکلات ارتودنسی مرتبط باشد. در این شرایط ممکن است چاره ای جز استفاده از بریس ها نداشته باشید.
اگر علاوه بر دندان های نامرتب، بین دندان ها فاصله نیز وجود داشته باشد، ممکن است بریس ها تنها گزینه برای حل کامل مشکلات باشند.
اگر فاصله بین دندان ها با مشکلات اسکلتی مرتبط باشد، ممکن است بریس ها برای آن ضروری باشند.
اگر در دندان های جلوی خود فاصله دارید، ممکن است از خود بپرسید که چگونه آن را بدون بریس ها اصلاح کنید. فاصله بین دندان های جلو معمولاً بین دندان های جلوی فک بالا در خط وسط دیده می شود. به این حالت دیاستم خط وسط می گویند. چند گزینه برای درمان فاصله بین دندان های جلوی شما وجود دارد. درمان به شدت دیاستم و علت آن بستگی دارد. اگر فاصله بین دندان ها به دلیل ناهماهنگی بایت باشد، دندانپزشک شما ممکن است برای اصلاح مشکل، ارتودنسی را توصیه کند. اما اگر نمی خواهید از ارتودنسی استفاده کنید، می توانید از الاینرهای شفاف استفاده کنید.
اگر فاصله بین دندان ها به دلیل از دست دادن دندان باشد، دندانپزشک شما ممکن است ایمپلنت دندان یا بریج دندان را برای بستن فاصله توصیه کند.
اگر فاصله بین دندان ها به دلیل بیماری لثه باشد، دندانپزشک شما ممکن است ابتدا درمانی را برای بهبود سلامت دهان و دندان شما توصیه کند. پس از بهبود سلامت دهان و دندان، ممکن است ارتودنسی یا نوع دیگری از درمان را برای بستن فاصله توصیه کند.
اگر فاصله کمی بین دندان های جلوی خود دارید، ممکن است بتوانید آن را با درمان های زیبایی دندانپزشکی ببندید. این درمان ها عبارتند از:
باندینگ دندان روشی است که در آن دندانپزشک شما رزینی به رنگ دندان را روی دندان های شما اعمال می کند و آن را با نور مخصوصی سفت می کند. این می تواند به بستن فواصل کوچک در دندان های شما کمک کند.
لمینیت های پرسلن پوسته های نازک و سفارشی هستند که به جلوی دندان های شما متصل می شوند. می توان از آنها برای بهبود ظاهر دندان ها و بستن فواصل کوچک استفاده کرد.
الاینر شفاف عملاً نامرئی است. می توان از آن برای صاف کردن تدریجی دندان ها و بستن فواصل کوچک استفاده کرد. اگر در دندان های جلوی خود فاصله دارید، در مورد بهترین گزینه درمانی برای خود با دندانپزشک خود صحبت کنید. با این حال، اگر کودکی در سن ۹ تا ۱۰ سالگی بین دندان های جلوی خود فاصله داشته باشد، به درمان نیاز نخواهد داشت. دلیل این امر این است که این اتفاق در زمان رویش دندان های نیش دائمی فک بالا رخ می دهد. دندان های نیش هنگام رویش، دندان های پیشین را تحت فشار قرار می دهند و باعث ایجاد فاصله می شوند. اما پس از اینکه به اکلوژن برگشتند، این فاصله ها به طور طبیعی بسته می شوند. به این مرحله، مرحله جوجه اردک زشت می گویند. بنابراین، برای این فاصله به بریس یا هیچ درمان دیگری نیاز ندارید.
اینکه آیا باید فاصله بین دندان های خود را ببندید یا خیر، به زیبایی، عملکرد و انتخاب شما بستگی دارد. اگر فاصله ها هنگام غذا خوردن یا صحبت کردن مشکلاتی ایجاد می کنند، باید برای عملکرد مناسب، فاصله ها را ببندید. اما اگر فقط بر زیبایی یا ظاهر صورت شما تأثیر می گذارد، باید تصمیم بگیرید که آیا می خواهید این فاصله ها را ببندید یا خیر. با این حال، اگر صرفاً برای زیبایی باشد، متخصص ارتودنسی ممکن است به شما توصیه کند که این فاصله ها را نبندید، زیرا این کار غیر ضروری است و شما با آن مشکلی نخواهید داشت.
فاصله بین دندان ها را می توان با روش های زیادی بست. بنابراین، مدت زمان لازم برای رفع فاصله به پروتکل درمان بستگی دارد. اگر به ساخت روکش یا ایمپلنت نیاز باشد، یک یا دو روز طول می کشد. اما اگر به الاینرهای شفاف مانند درمان الاینرهای شفاف نیاز دارید، بسته به شدت مشکل، ۶ تا ۱۲ ماه طول خواهد کشید.
شما می توانید فاصله بین دندان ها را بدون بریس ها ببندید زیرا امروزه گزینه های زیادی در دسترس هستند. الاینرهای شفاف می توانند به شما کمک کنند تا این فاصله ها را به طور مؤثر برطرف کنید و لبخندی زیبا به شما هدیه دهند. با این حال، کودکان برای رفع فاصله ها به بریس نیاز ندارند، زیرا اکثر آنها خود به خود اصلاح می شوند.