
در این نوشته می خوانید:
آیا تا به حال متوجه شده اید که بدنتان سعی می کند با شما ارتباط برقرار کند؟ وقتی خسته هستید، خودتان را در حال خمیازه کشیدن می بینید. وقتی گرسنه هستید، ممکن است صدای غرغر شکمتان را بشنوید. همین امر در مورد سلامت دهان و دندان شما نیز صدق می کند! وقتی لثه هایتان خونریزی می کنند، می دانید که باید با دندانپزشک خود وقت ملاقات بگیرید. اما به هیچ وجه علائم بدن ما به این اندازه واضح نیستند. به عنوان مثال، آیا تا به حال متوجه لکه های سفید روی لثه هایتان شده اید؟ آیا تا به حال از خود پرسیده اید که “چرا لثه هایم سفید هستند؟” این نیز نمونه ای از زمانی است که بدن شما با شما ارتباط برقرار می کند. برای فهمیدن اینکه لثه های سفید به چه معناست، ادامه مطلب را بخوانید.
سفید شدن لثه ها و تشکیل لایه سفید روی لثه ها می تواند گیج کننده باشد و نگرانی هایی را در مورد سلامت دهان و دندان شما ایجاد کند. در این مقاله، بررسی ساده ای از دلیل سفید شدن لثه ها خواهید یافت، از مسائل جزئی گرفته تا شرایطی که به توجه فوری نیاز دارند. ما شما را در شناسایی علائم و درک زمان مراجعه به یک متخصص راهنمایی خواهیم کرد. برای شفاف سازی در مورد این پدیده بدون اصطلاحات پزشکی بیش از حد آماده شوید و در صورت لزوم، شما را آگاه و آماده برای انجام مراحل بعدی می کند.

شناسایی علل سفیدی لثه
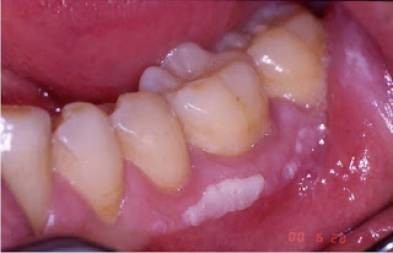
سفیدی لثه ها، اگرچه همیشه جای نگرانی نیست، اما می تواند نشانه ای از یک بیماری باشد که بر سلامت دهان و دندان تأثیر می گذارد و گاهی اوقات، نشانه ای از سرطان دهان است. تغییر رنگ لثه ها که منجر به سفیدی لثه ها در اطراف دندان ها می شود را می توان به عواملی مانند لکوپلاکیا، کم خونی، زخم های دهانی و التهاب لثه همراه با عفونت های قارچی نسبت داد. در برخی موارد، یک لکه سفید روی لثه ها ممکن است به بیماری های جدی مانند سرطان دهان (که مشخصه ویژه آن لکه های بافت دار و ناهموار روی سطح بافت لثه است) یا برفک دهان (که باعث ایجاد زخم های سفید برجسته و خامه ای در دهان می شود)، اشاره داشته باشد. اکنون این علل بالقوه را با جزئیات بیشتری بررسی خواهیم کرد، و با لکوپلاکیا، بیماری که اغلب با مصرف دخانیات مرتبط است، شروع می کنیم.
لثه های سفید اغلب ناشی از بیماری به نام لکوپلاکیا هستند. لکوپلاکیا به عنوان بیماری تعریف می شود که در آن لکه ها یا ضایعات ضخیم و سفید روی لثه ها، قسمت داخلی گونه ها و کف دهان ایجاد می شوند و دهان، دندان های لق و زبان را تحت تأثیر قرار می دهد. آنها حتی می توانند روی زبان نیز تشکیل شوند. این لکه های سفید را نمی توان مالش داد یا تراشید.
در حالی که دنیای پزشکی مطمئن نیست که دقیقاً چه چیزی باعث لکوپلاکیا می شود، مصرف دخانیات به هر شکلی و سوء مصرف مزمن الکل به عنوان دلایل احتمالی مشکوک هستند. دندان مصنوعی که به زبان یا داخل گونه های شما ساییده می شود، یکی دیگر از عوامل احتمالی است.
وجود لکوپلاکیا در واقع می تواند نگران کننده باشد، زیرا در حالی که اکثر موارد آن خوش خیم هستند، درصد کمی می تواند نشانه اولیه سرطان باشد و ممکن است نشان دهنده شرایط پیش سرطانی مانند سرطان دهان باشند. این وضعیت پیش سرطانی به عنوان دیسپلازی شناخته می شود. طبق گفته انجمن سرطان آمریکا، دیسپلازی به خفیف، متوسط یا شدید درجه بندی می شود. تعیین درجه دیسپلازی شما، درمان شما را هدایت می کند زیرا دیسپلازی شدید احتمال بیشتری دارد که به سرطان تبدیل شود، در حالی که دیسپلازی خفیف ممکن است به طور کامل از بین برود.
این امر بویژه در صورتی اهمیت دارد که ضایعات قرمز همراه با لکه های سفید باشند، زیرا این موارد بیشتر احتمال دارد که نشان دهنده شرایط پیش سرطانی یا موارد سرطان دهان باشند. درمان لکوپلاکیا ممکن است از بین بردن لکه ها از طریق انجماد، جراحی یا لیزر تا داروهای ضد ویروسی که برای موارد سیستم ایمنی ضعیف مانند عفونت های قارچی توصیه می شوند، متغیر باشد. با این حال، به خاطر داشته باشید که علیرغم درمان، لکوپلاکیا ممکن است به طور قابل توجهی دوباره عود کند.
اکنون می دانیم که لکوپلاکیا باعث ایجاد لکه های سفید روی لثه های شما می شود که قابل پاک شدن نیستند. برخی موارد دیگر که باید به آنها توجه کنید عبارتند از:
کم خونی، یکی دیگر از علل بالقوه سفید شدن لثه ها، یک بیماری پزشکی است که مشخصه ویژه آنها کمبود گلبول های قرمز سالم است که مسئول حمل اکسیژن در سراسر بدن، از جمله لثه ها هستند. این کاهش اکسیژن رسانی می تواند منجر به رنگ پریدگی لثه ها یا حتی سفید شدن لثه ها شود. عوامل معمول مؤثر در کم خونی شامل کمبود آهن یا ویتامین B12، عناصر ضروری برای تولید گلبول های قرمز خون و حفظ سلامت لثه ها، می شود. علاوه بر این، بیماری های زمینه ای مانند بیماری کرون و بیماری سلیاک نیز می توانند منجر به کم خونی شوند.
زخم های دهانی که به عنوان زخم های دهان نیز شناخته می شوند، می توانند دلیل سفید شدن لثه ها نیز باشند. این زخم ها ضایعاتی هستند که در داخل دهان و روی لثه ها تشکیل می شوند و معمولاً شکلی گرد یا بیضی شکل با مرکز رنگ پریده و حاشیه قرمز دارند. با این حال، به خاطر داشته باشید که اگرچه زخم های دهانی ممکن است باعث سفید شدن قسمت های خاصی از خط لثه ها شوند، اما بر رنگ کلی لثه ها تأثیری ندارند. تشخیص زخم های دهانی معمولاً یک فرآیند ساده است و معاینه بصری توسط دندانپزشک یا پزشک معمولاً کافی است. استفاده از دهانشویه فاقد الکل می تواند به کاهش درد ناشی از زخم های دهانی کمک کند. با این حال، اگر زخم دهانی بیش از ۱۴ روز طول بکشد یا بدتر شود و باعث موارد زیر شود:
باید برای بررسی هرگونه مشکل اساسی در سلامت با یک متخصص پزشکی مشورت شود.

التهاب لثه و بهداشت دهان و دندان ضعیف
التهاب لثه، یک بیماری لثه ناشی از بهداشت ناکافی دهان و دندان، یکی دیگر از دلایل سفید شدن لثه ها است. مشخصه ویژه این بیماری لثه های تحریک شده، قرمز و متورم در اطراف پایه دندان ها است و گاهی اوقات با خونریزی هنگام مسواک زدن و نخ دندان کشیدن همراه است. نوع خاصی از بیماری لثه با لکه های سفید به نام ANUG (التهاب حاد نکروز دهنده لثه) یکی از تهاجمی ترین انواع آن است. اگر التهاب لثه که تقریباً نیمی از افراد بزرگسال آمریکایی را تحت تأثیر قرار می دهد، به درستی درمان نشود، می تواند به پریودنتیت تبدیل شود که ممکن است منجر به پوسیدگی دندان و در نهایت از دست دادن دندان شود. درمان های ترمیمی اولیه برای مدیریت التهاب لثه شامل موارد زیر هستند:
در صورت عدم درمان، التهاب لثه می تواند منجر به تحلیل لثه و نمایان شدن ساختار استخوان زیرین شود که ممکن است با پیشرفت بیماری، لثه ها سفید به نظر برسند.
شناخت علائم معمولی که ممکن است با لثه های سفید همراه باشند، بخش جدایی ناپذیر مدیریت این بیماری است. این علائم عبارتند از:
شایان ذکر است که وجود و شدت درد می تواند نشان دهنده یک بیماری زمینه ای مانند بیماری لثه یا برفک دهان باشد و سطح درد می تواند بسته به علت زمینه ای خاص متفاوت باشد.
با توجه به شدت بالقوه بیماری هایی که با سفیدی لثه ها مشخص می شوند، باید از کمک حرفه ای استفاده شود. ما مراقبت و تخصص جامعی در درمان تغییر رنگ لثه و سفیدی لثه ارائه می دهیم و تضمین می کنیم که بیماران بالاترین استاندارد مراقبت را برای سلامت دهان و دندان خود دریافت می کنند. رویکرد ما برای درمان سفیدی لثه شامل آموزش بیمار و شفافیت در برنامه های درمانی است. ما به توانمندسازی بیماران خود با دانش در مورد شرایط سلامت دهان و دندانشان اعتقاد داریم و به آنها اجازه می دهیم تا در مورد مسیر درمان خود تصمیمات آگاهانه ای بگیرند.
یک رویکرد شخصی سازی شده در درمان سفیدی لثه ضروری است. گزینه های درمانی سفارشی بر اساس علت زمینه ای شامل موارد زیر است:
این درمان ها با هدف بهبود سلامت دهان و دندان فرد با ترویج عادات بهتر بهداشت دندان انجام می شوند. حفظ بهداشت خوب دندان، که شامل مسواک زدن و نخ دندان کشیدن منظم است، در پیشگیری و درمان سفیدی لثه ها کلیدی است. این امر بویژه در درمان التهاب لثه، یکی از علل شایع سفیدی لثه، مؤثر است.
از نظر مدیریت کم خونی، درمان معمولاً شامل تغییرات رژیم غذایی، مکمل های ویتامین و مقابله با هرگونه بیماری زمینه ای است که بر سلامت دهان و دندان فرد تأثیر می گذارد. به عنوان مثال، کم خونی ناشی از کمبودهای تغذیه ای را می توان از طریق استفاده از مکمل های آهن، تزریق ویتامین B12 و اتخاذ یک رژیم غذایی متعادل تر برطرف کرد. البته، نقش ویتامین C در تسهیل جذب آهن توسط بدن نیز در درمان کم خونی و حفظ سلامت دهان و دندان بسیار مهم است.
یکی دیگر از جنبه های کلیدی درمان سفیدی لثه، درمان زخم های دهانی است. این زخم ها یا ضایعات در دهان می توانند ناراحتی قابل توجهی ایجاد کنند و اغلب منجر به تشکیل لثه های سفید در نزدیکی زخم می شوند که بر بافت های حساس دهان تأثیر می گذارند. اگر زخم های دهانی ادامه یابند یا بدتر شوند، علائمی مانند موارد زیر را ایجاد می کنند:
ممکن است درمان های تجویزی مانند دهانشویه یا پماد لازم باشند.
بهبود بهداشت دندان برای درمان و پیشگیری از سفیدی لثه ها بسیار مهم است. کلید این امر در حفظ یک روال صحیح بهداشت دهان و دندان است که شامل مسواک زدن و نخ دندان کشیدن دو بار در روز و معاینات منظم دندانپزشکی است. برای دستیابی به بهداشت مطلوب دندان، توصیه می شود از مسواک برقی با فرچه نرم به همراه خمیر دندان با کیفیت استفاده کنید. استفاده بیشتر از دهانشویه می تواند مزایای متعددی از جمله از بین بردن باکتری های مضر، از بین بردن بقایای مواد غذایی، خوشبو کردن نفس و کمک به جلوگیری از پوسیدگی، کاهش پلاک، کاهش التهاب لثه و تقویت سلامت لثه ها را به همراه داشته باشد.
لیکن پلان دهانی یک بیماری خودایمنی مزمن است که در حال حاضر درمانی ندارد و می تواند بر سلامت دهان و دندان فرد تأثیر بگذارد. علائم لیکن پلان دهانی شامل درد، خونریزی و التهاب لثه هستند که می توانند بر سلامت دهان و دندان تأثیر بگذارند. افرادی که به این بیماری مبتلا هستند، بیشتری در معرض خطر ابتلا به سرطان دهان قرار دارند که می تواند به شدت بر سلامت دهان و دندان آنها تأثیر بگذارد. درمان لیکن پلان دهانی شامل ژل های بی حس کننده التهاب یا درمان های کورتیکواستروئیدی و در موارد شدیدتر، داروهایی است که پاسخ ایمنی بدن را سرکوب می کنند.
علاوه بر درمان های پزشکی، درمان های خانگی و اقدامات پیشگیرانه می توانند نقش مهمی در مدیریت لثه های سفید داشته باشند. روش های ساده ای مانند حفظ بهداشت دهان و دندان و داشتن یک رژیم غذایی متعادل می تواند در بهبود سلامت دهان و دندان فرد بسیار مؤثر باشد. برای جلوگیری از سفید شدن لثه ها، حفظ سلامت دهان و دندان از طریق مسواک زدن و نخ دندان کشیدن منظم و خودداری از مصرف مواد مضر مانند محصولات دخانی بسیار حیاتی است.
حتماً! اگر لکه های سفیدی را روی لثه های خود مشاهده کردید، اولین کاری که باید انجام دهید این است که با دندانپزشک خود قرار ملاقات بگذارید. از آنجا که این لکه ها می توانند پیش سرطانی باشند، تشخیص زود هنگام کلید درمان آنهاست تا بتوان قبل از جدی تر شدن آنها را درمان کرد. زمان اولین مشاهده لکه ها را یادداشت کنید تا بتوانید این اطلاعات را به دندانپزشک یا جراح دهان خود منتقل کنید. همچنین ایده خوبی است که معاینات منظمی را با دندانپزشک خود ترتیب دهید. در طول این معاینات، دندانپزشک شما ممکن است متوجه چیزهایی شود که شما متوجه آنها نشده اید، مانند علائم اولیه لکوپلاکیا. طبیعی است که اگر لکه های سفید روی لثه هایتان ببینید، نگران یا کلافه شوید، اما توجه به این لکه ها نخستین گام برای کنترل مشکل است. دفعه بعد که به داخل دهانتان نگاه کردید و لثه های سفید دیدید، به خاطر داشته باشید که بدن شما در تلاش است تا اطلاعات حیاتی را به شما بدهد که به نوبه خود، شما باید آن را به دندانپزشک خود بدهید!