

در این نوشته می خوانید:
تجمع جرم روی دندان (رسوب دندان) یک لایه سخت و آهکی شده از باکتری یا پلاک دندانی سخت شده است. متأسفانه، شما نمی توانید جرم را به تنهایی از بین ببرید؛ باید توسط یک متخصص دندانپزشکی برداشته شود. خبر خوب این است که با مراقبت های خوب خانگی و استفاده از محصولاتی مانند دهانشویه کنترل جرم و خمیر دندان، می توانید از تجمع جرم روی دندان ها جلوگیری کنید.
همه دچار پلاک می شوند. جرم دندان، پلاک دندانی آهکی شده یا سفت شده ای است که می تواند روی دندان های شما، چه بالا و چه پایین خط لثه، تشکیل شود. هنگامی که پلاک از طریق مراقبت های روزانه در منزل برداشته نشود، باکتری ها شروع به سفت شدن و تبدیل شدن به مواد معدنی (درست مانند خاک رس که در محیط به سنگ تبدیل می شود) در سطح دندان ها می کنند. اما مگر اینکه با بهداشت دهان و دندان مناسب از بین برود.
برخلاف پلاک، نمی توانید جرم دندان را با مسواک زدن و نخ دندان کشیدن از بین ببرید. خوشبختانه، جرم دندان را می توان در طول تمیز کردن حرفه ای دندان ها توسط یک دندانپزشک یا متخصص بهداشت دهان و دندان از بین برد و می توانید با رعایت بهداشت دهان و دندان، تجمع اضافی جرم دندان را به حداقل برسانید.
جرم دندان عمدتاً حاوی باکتری های مرده ای است که معدنی شده اند و با مقدار کمی پروتئین معدنی از بزاق (آب دهان) شما مخلوط شده اند.
به طور خاص، جرم دندان از این مواد معدنی تشکیل شده است:
تفاوت بین پلاک و جرم دندان چیست؟ اساساً، پلاک نرم و به راحتی قابل جدا شدن است در حالی که جرم دندان اینگونه نیست. پلاک روزانه جمع می شود و می تواند باعث بیماری لثه شود و اگر به طور منظم برداشته نشود، شروع به کلسیفیکاسیون می کند و در نتیجه جرم تشکیل می شود.
پس از تشکیل جرم، فقط دندانپزشک یا متخصص بهداشت دهان و دندان می تواند آن را از بین ببرد. جرم دندان معمولاً در جایی که غدد بزاقی قرار دارند، سنگین تر است، در طرفین دندان های شما که رو به گونه هستند و طرفین که رو به زبان شما هستند، در قسمت های خاصی از دهان.
هنگام مقایسه پلاک در مقابل جرم دندان، هر دو حاوی باکتری های عفونی هستند که به بیماری لثه کمک می کنند. با این حال، جرم دندان نگران کننده تر است زیرا حذف جرم دندان کاری نیست که بتوانید به تنهایی انجام دهید.

علائم جرم دندان چیست؟
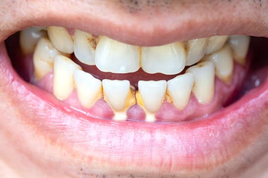
جرم دندان اغلب لکه هایی را از غذاها و نوشیدنی هایی که در طول روز می خوریم یا می نوشیم جذب می کند. به همین دلیل، جرم دندان می تواند رنگ های مختلفی داشته باشد، اما معمولاً زرد، قهوه ای، خاکستری یا سیاه است. در بیشتر موارد، تجمع جرم روی بافت لثه شما زرد یا قهوه ای روشن است، در حالی که جرم زیر لثه شما تمایل به رنگ تیره تر دارد. جرم سیاه روی دندان ها و خط لثه معمولاً در سطوح ریشه دندان های مبتلا به بیماری پریودنتال (لثه) فعال یافت می شود. اگر ایجاد جرم روی دندان های شما شروع شود، ممکن است متوجه موارد زیر نیز شوید:
بله، جرم دندان معمولاً بوی نامطبوعی دارد. همچنین می تواند باعث ایجاد حفره های کوچک در نواحی بین دندان ها و لثه های شما شود. باکتری ها و بقایای غذا می توانند در آنجا گیر کنند و منجر به بوی بد دهان یا طعم بد در دهان شما شوند.
چه چیزی باعث ایجاد جرم دندان می شود؟ در بیشتر موارد، تشکیل جرم روی دندان ها به دلیل عدم حذف باکتری های پلاک از طریق رعایت بهداشت دهان و دندان است، وقتی به طور معمول پلاک را از روی دندان های خود پاک نمی کنید، می تواند به جرم دندان تبدیل شود. بنابراین، جرم دندان معمولاً نتیجه بهداشت ضعیف دهان است اما عوامل دیگری نیز وجود دارند که ممکن است در این امر نقش داشته باشند، مانند نواحی صعب العبور روی دندان ها و سیگار کشیدن و مصرف دخانیات.
اگر موارد زیر را رعایت کنید، احتمال ابتلا به پلاک و جرم دندان در شما بیشتر است:
اگر جرم دندان هایتان را پاک نکنید، احتمال ابتلا به موارد زیر بسیار بیشتر می شود:
دندانپزشک می تواند در طول معاینه معمول دندانپزشکی به شما بگوید که آیا جرم دندان دارید یا خیر. اگر آنها مشکوک به داشتن حفره، بیماری لثه یا سایر مشکلات در نتیجه آن باشند، ممکن است موارد زیر را نیز انجام دهند:

چگونه جرم دندان را درمان می کنید؟
در بیشتر موارد، جدا شدن جرم دندان از دندان طبیعی نیست. ممکن است وسوسه شوید که جرم دندان هایتان را بدون کمک دندانپزشک پاک کنید، اما تلاش برای خلاص شدن از شر جرم روی دندان ها توسط خودتان در خانه ایمن نیست، زیرا می تواند منجر به آسیب دائمی به لثه یا دندان های شما شود و شما را مستعد پوسیدگی و سایر مشکلات کند.
تنها راه برای درمان مؤثر جرم دندان، مراجعه به دندانپزشک یا متخصص بهداشت دهان و دندان است. آنها با استفاده از ترکیبی از ابزارهای ویژه، جرم را با خیال راحت از بین می برند.
بسته به میزان تجمع جرم دندان، دندانپزشک شما ممکن است موارد زیر را توصیه کند:
اما نکته کلیدی این است که هر روز قبل از اینکه پلاک دندانی فرصتی برای تبدیل شدن به جرم پیدا کند، آن را به طور کامل از بین ببرید. تمیز کردن روتین دندان بهترین راه برای حفظ سلامت دهان و دندان شماست. در طول تمیز کردن، یک متخصص بهداشت دهان و دندان با استفاده از ابزارهای مخصوص، پلاک و جرم را از روی دندان های شما پاک می کند. آنها همچنین بین دندان های شما را کاملاً نخ دندان می کشند و سطوح دندان های شما را با استفاده از یک فنجان لاستیکی و خمیر دندان زبر صیقل می دهند.
بسیاری از افراد می توانند با تمیز کردن هر شش ماه یکبار، جرم دندان را از بین ببرند. اما اگر مستعد پوسیدگی، بیماری لثه یا سایر مشکلات هستید، ممکن است بیشتر به تمیز کردن نیاز داشته باشید. از دندانپزشک خود بپرسید که چه برنامه تمیز کردن برای شما مناسب است.
اگر جرم دندان از قبل باعث از بین رفتن مقداری استخوان در اطراف دندان های شما شده باشد، دندانپزشک شما ممکن است درمان بیماری لثه را توصیه کند. این روش ها جرمی را که در زیر خط لثه شما گیر کرده است، جایی که مسواک زدن و نخ دندان به آن نمی رسد، از بین می برند.
درمان های رایج بیماری لثه عبارتند از:
جرم گیری و صاف کردن سطح ریشه.
پیشگیری در مدیریت تجمع جرم روی دندان ها بسیار مهم است. با تنظیم رژیم غذایی، عادات بهداشت دهان و دندان و ایجاد تغییرات خاص در سبک زندگی، می توانید میزان جرم تشکیل شده روی دندان هایتان را به میزان قابل توجهی کاهش دهید و محصولات دهانشویه مناسب می توانند به جلوگیری و کاهش تجمع جرم کمک کنند.
محصولات تنباکو و بویژه سیگار کشیدن از نظر آماری با افزایش موارد بیماری لثه مرتبط هستند. جرم همچنین لکه های دود سیگار و تنباکوی بدون دود را جذب می کند و باعث تجمع جرم قهوه ای تیره یا سیاه روی خط لثه در سراسر دندان های شما می شود.
خوشبختانه، متخصصان دندانپزشکی ابزارهای ویژه و آموزش پیشرفته ای در مورد نحوه ایمن حذف تجمع جرم از دندان ها، از جمله باکتری های کلسیفیه شده زیر لثه، دارند. با برنامه ریزی منظم برای تمیز کردن دندان ها، می توانید تجمع جرم را بین ویزیت ها به حداقل برسانید و دهان خود را سالم نگه دارید. اکثر افراد از تمیز کردن دندان هر شش ماه یکبار سود می برند.
استفاده از خمیر دندان حاوی فلوراید دو بار در روز می تواند به تقویت سطوح ریشه دندان های نمایان کمک کند تا آنها را در برابر پوسیدگی و حفره های دندان مقاوم تر کند.
بهترین راه حل برای جلوگیری از تجمع جرم روی دندان ها، از بین بردن پلاک حداقل دو بار در روز است. مسواک زدن کامل به مدت دو دقیقه در روز، نخ دندان کشیدن روزانه در اطراف هر دندان و استفاده از دهانشویه ضد پلاک و ضد التهاب لثه کنترل کننده جرم می تواند به مدیریت سطح پلاک کمک کند و از تبدیل باکتری ها به جرم جلوگیری کند.