دکتر یوسف رفیع جراح دندانپزشک زیبایی و ترمیمی در شهر کرج

خدمات تخصصی دندانپزشکی در مطب تخصصی در جهانشهر کرج:
+5000

درمان موفق دندانپزشکی


2K

درمان زیبایی


2K

درمان ترمیمی


94%

رضایت بیماران (نظرسنجی)


نمونه های درمان شده توسط دکتر رفیع

مقالات آموزشی دندانپزشکی

20 آذر ماه 1402

استفاده از روش بایومیمتیک در دندانپزشکی ترمیمی

در دندانپزشکی ترمیمی یک رویکرد جدید به نام دندانپزشکی بایومیمتیک وجود دارد. تمرکز این شاخه از دندانپزشکی ترمیمی بر بازسازی دندان های به شدت تخریب شده است
8 مهر ماه 1398

هزينه پر کردن دندان در كرج

هزينه پركردن دندان با كامپوزيت يا آمالگام در كرج در مطب خصوصي و مراكز دولتي متفاوت است. قیمت ترميم آمالگام براي دندانپزشك عمومي ١٧١٠٠٠ تومان تا٢٥٦٠٠٠ تومان است
29 آذر ماه 1404

بستن فاصله بین دندان ها بدون بریس های ارتودنسی

به جای استفاده از بریس ها، می توانید دیاستم خط وسط یا فاصله بین دندان هایتان را با الاینرهای شفاف مانند اینویزیلاین یا صاف کننده های خانگی دندان ها مانند بایت الاینرها ببندید. علاوه بر این، یک فاصله جزئی بین دندان های جلو را می توان با باندینگ دندان، لیمینت دندان یا پرسلن بست.
17 آذر ماه 1404

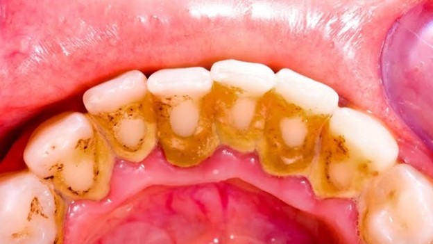
مراقبت پریودنتال چگونه می تواند دندان ها را نجات دهد؟

لبخند سالم چیزی بیشتر از داشتن دندان های سفید است؛ به معنای داشتن لثه های قوی و سالم نیز می باشد. با این حال، مشکلات مربوط به سلامت لثه اغلب در ابتدا مورد توجه قرار نمی گیرند که در نهایت می توانند منجر به از دست دادن دندان و تأثیرات منفی بر سلامت کلی شما شوند. به همین دلیل است که مراقبت های پریودنتال از نگاه دندانپزشکان در محافظت از سلامت دهان و دندان و سلامت کلی شما بسیار ارزشمند هستند.

نوبت ویزیت خود را به صورت آنلاین و رایگان دریافت کنید :

مشاوره آنلاین دندانپزشکی

سوالات خود را در زمینه دندانپزشکی زیبایی/ ترمیمی و جراحی دندان از آقای دکتر بپرسید
فیلتر:همهبی پاسخ
لبخند لثه ای
دکتر یوسف رفیع پاسخ داده شده 4 سال پیش • 
2084 بازدید1 پاسخ0 رأی
درمان دندان های شکسته
دکتر یوسف رفیع پاسخ داده شده 4 سال پیش • 
2068 بازدید1 پاسخ0 رأی
ارتودنسی بعداز عمل بینی
دکتر یوسف رفیع پاسخ داده شده 4 سال پیش • 
2043 بازدید1 پاسخ0 رأی
دندان درد بعد از تزریق ژل لب
دکتر یوسف رفیع پاسخ داده شده 4 سال پیش • 
4058 بازدید1 پاسخ0 رأی
 
13 بهمن ماه 1395

خانه

رزرو آنلاین نوبت